Tehnologiile moderne All-on-4 și All-on-6 îți permit să obții o dantură fixă, într-un timp scurt și cu rezultate excelente. În ultimii ani, tehnologiile moderne de implantologie au adus soluții eficiente și rapide.
Diferențele dintre All-on-4 și All-on-6
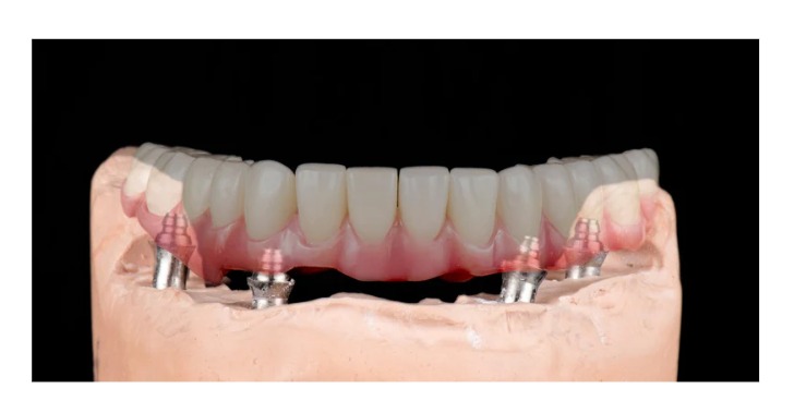
Metoda All-on-4 presupune inserarea a patru implanturi dentare pe arcadă, în timp ce All-on-6 utilizează șase implanturi. Numărul suplimentar de implanturi din tehnica All-on-6 asigură o stabilitate mai mare și o distribuție mai uniformă a forțelor masticatorii. Alegerea metodei potrivite depinde de mai mulți factori, cum ar fi densitatea osoasă a pacientului și starea generală de sănătate.
Avantajele metodelor All-on-4 și All-on-6
- Rezultate imediate: În majoritatea cazurilor, pacienții pot pleca în 24-48 ore cu o lucrare protetică provizorie fixă.
- Reducerea necesității grefelor osoase: Tehnica permite inserarea implanturilor la un unghi care evită zonele cu densitate osoasă scăzută.
- Confort sporit: Pacienții experimentează un confort asemănător cu cel al dinților naturali și o îmbunătățire semnificativă a funcției masticatorii.
Indicații și contraindicații ale tratamentelor
Tratamentul All-on-4 și All-on-6 este indicat în special pacienților edentați total, care doresc o soluție fixă, rapidă și eficientă. Aceste metode sunt ideale pentru persoanele cu resorbție osoasă moderată, deoarece permit evitarea procedurilor complexe de augmentare osoasă. Totuși, există și contraindicații, cum ar fi pacienții cu boli cronice necontrolate (diabet, osteoporoză severă) sau cei care urmează tratamente cu bifosfonați.

Procesul de tratament și recuperare
Intervenția începe cu o evaluare detaliată, incluzând radiografii și tomografii computerizate pentru a determina densitatea și volumul osos. Procedura chirurgicală propriu-zisă durează câteva ore și presupune inserarea implanturilor și montarea unei lucrări protetice provizorii. Vindecarea completă a implanturilor durează între 3 și 6 luni, după care se montează lucrarea protetică finală, realizată din materiale estetice și rezistente, precum zirconiu sau ceramică.
Lucrări protetice overdenture vs. fixe pe implanturi
Soluțiile protetice se împart în două categorii principale: lucrări protetice overdenture (mobilizabile) și lucrări fixe pe implanturi. Overdenture-urile sunt susținute de implanturi, dar pot fi îndepărtate pentru curățare. Sunt o opțiune bună pentru pacienții care își doresc o soluție mai economică și ușor de întreținut. În schimb, lucrările protetice fixe oferă stabilitate superioară și confort maxim, fiind fixate definitiv pe implanturi. Acestea sunt ideale pentru pacienții care doresc o soluție permanentă, fără grija îndepărtării și igienizării zilnice.
Cazuri clinice și rezultate
Studiile clinice arată că atât metodele All-on-4, cât și All-on-6 au o rată de succes de peste 95% pe termen lung. Pacienții raportează îmbunătățiri semnificative în vorbire, masticare și calitatea vieții în general. De asemenea, estetic, rezultatele sunt remarcabile, dantura fixă având un aspect foarte natural.

Concluzie
Atât All-on-4, cât și All-on-6 reprezintă soluții moderne și eficiente pentru pacienții edentați total. Alegerea metodei optime trebuie făcută împreună cu medicul specialist, în funcție de particularitățile fiecărui caz. Indiferent de opțiunea aleasă, pacienții se pot bucura de o viață normală, cu un zâmbet frumos și sănătos. În plus, datorită tehnologiei avansate și materialelor de calitate superioară utilizate, lucrările protetice pe implanturi oferă nu doar funcționalitate, ci și un plus de încredere în sine și o îmbunătățire vizibilă a calității vieții.
Pentru mai multe detalii va asteptam in cadrul clinicii Dental Plazza by Adrian pentru consultație.
Str. Anatole France nr.79, Oradea
Nr. Telefon: 0755 268 773
Mai multe detalii: https://dentalplazza.ro/ sau https://www.facebook.com/dentalplazzabyadrian/
Advertorial CH 23998
Citiți principiile noastre de moderare aici!